La plateforme DeepUnity Le meilleur de la radiologie et de la gestion de contenu multi-départemental
|
|
| #Diagnost Viewer Capture Discovery eVNA & ECM U RIS DOSE PACSonWEB |
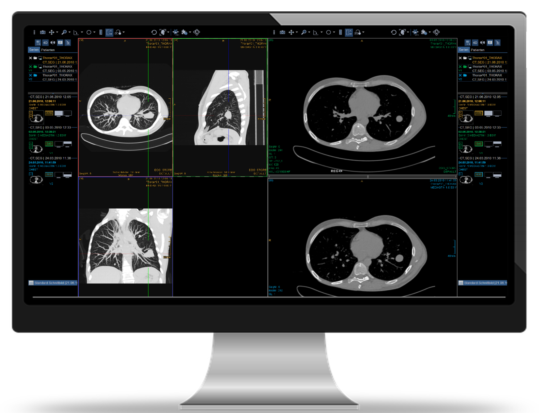
 Applications PACS de DeepUnity - La solution parfaite pour chaque besoin Analysez les images avec nos solutions PACS les plus abouties. Vous disposez d'un vaste ensemble d'outils et de fonctionnalités avancées, comme le MPR, les démonstrations cliniques intégrées au flux de travail, etc., pour répondre à tous les besoins possibles lors du diagnostic des images de vos patients. Nous vous proposons différentes options de notre client PACS pour vous donner le choix. DeepUnity Diagnost est de loin notre solution PACS la plus avancée et est enregistrée en tant que dispositif médical de classe IIa. Il est livré avec de nombreuses fonctionnalités supplémentaires pour améliorer votre flux de travail quotidien, comme des outils de visualisation et de post-traitement avancés pour la radiologie et la cardiologie. Vous pouvez afficher et visualiser des images, des données médicales, des fichiers PDF, des vidéos, etc. Si vous devez importer, exporter ou partager des données médicales, tout est disponible directement dans DeepUnity Diagnost.
Une technologie de pointe Le fondement de nos applications est la plateforme DeepUnity, construite sur une architecture de microservices et Kubernetes.
 Principaux avantages
- Une grande interopérabilité dans votre environnement informatique existant grâce à une communication indépendante de tout fournisseur, avec n'importe quel système d'information, PACS ou VNA.
- Facilité d'extension avec des outils audiovisuels, de post-traitement et des solutions d'intelligence artificielle grâce à un cadre spécialement conçu.
Caractéristiques principales
- Des conteneurs de test uniques permettent de faire fonctionner en parallèle les nouvelles versions du client sur des postes de travail sélectionnés
- Outils de mesure et solutions d'évaluation étendus
- Rapports intégrés au PACS (voir DeepUnity Discovery)
- Protocoles d'affichage intelligents
- Outils pour la mammographie et médecine nucléaire
- Gestion des colloques cliniques
- Installation rapide et facile des clients et mécanisme de mise à jour intégré
- Administration à distance des permissions ainsi que des paramètres spécifiques à l'utilisateur et au lieu de travail
DeepUnity Viewer - Accès rapide et sécurisé à toutes les données médicales, de partout et à tout moment 
L'augmentation rapide de la création de données médicales est une tendance émergente dans l'imagerie diagnostique. Alors qu'il est encore courant d'utiliser différents systèmes de visualisation pour différents types de données médicales, nous proposons une solution de visualisation unique et universelle. DeepUnity Viewer est conçu pour répondre aux besoins naturels de votre flux de travail, en vous fournissant un accès sécurisé à toutes les données médicales (DICOM et non-DICOM) pour vous donner une vue holistique de votre cas d'étude, quel que soit le système d'où proviennent les données. L'accès est parfaitement et facilement géré via un navigateur web tandis que l'autorisation se fait via Keycloak. La technologie moderne sur laquelle son cadre est construit permet un degré d'évolutivité et des intégrations standardisées. Maintenant égalment certifié pour la pathologie digitale avec des outils d'annotation et de comptage, synchronisation de deux lames ainsi qu'un moteur de DICOMisation des lames numérisées.
Une technologie de pointe Le fondement de nos applications est la plateforme DeepUnity, construite sur une architecture de microservices et Kubernetes.
 Principaux avantages
- Augmente l'efficacité grâce à l'accès aux données médicales de n'importe où, offrant un accès uniforme aux données des patients
- Accès aux données DICOM et non-DICOM
- Niveau de sécurité élevé grâce à des procédures d'authentification standardisées
- Améliore la productivité en offrant une interface utilisateur intuitive et une intégration optimale dans les flux de travail
Caractéristiques principales
- Visionneuse web à empreinte zéro
- Mode autonome
- Mode image clé uniquement
- Synchronisation de deux ou plusieurs séries
- Les images affichées peuvent être stockées ou imprimées
- Conception libre de la mise en page
- Codage couleur des études pour un aperçu plus facile
- Affichage des résultats dans la visionneuse
- Champs de recherche personnalisables en fonction des besoins
- Haut niveau d'évolutivité
Documentation photographique et vidéo rapide et simple 
Le temps est toujours un facteur essentiel, surtout dans un environnement de soins de santé très actif. Pour aider à gagner du temps et à améliorer la qualité et les flux de travail, notre solution de documentation photographique mobile a été développée pour une documentation photographique structurée qui vous permet de prendre des photos et vidéos au format DICOM et de les télécharger directement dans n'importe quel PACS. Pour vous donner la liberté de choix, nous proposons cette solution pour les appareils mobiles basés sur iOS et Android.
 Principaux avantages
- Documentation rapide et structurée grâce au contexte direct du patient
- Accès à la documentation photographique partout dans votre établissement
- Neutralité vis-à-vis des fournisseurs - Connexion à n'importe quel PACS
Caractéristiques principales
- Création du contexte du patient via :
- Interrogation d'une liste de travail de modalité DICOM
- Scanner le bracelet du patient
- Recherche manuelle du patient
- Les images et vidéos sont prises directement au format DICOM
- Téléchargement direct vers un PACS indépendant du fournisseur
- Visualisation des images préliminaires
Restez concentré grâce à un flux de travail plus fluide 
DeepUnity Discovery offre aux médecins une option de compte-rendu diagnostique directement dans le PACS. Intégrés à notre application PACS DeepUnity Diagnost, les radiologues, cardiologues et médecins nucléaires ont la possibilité de créer des rapports de diagnostic structurés directement dans le PACS au lieu de passer par un autre système pour les créer dans le RIS. Les images diagnostiques et les résultats peuvent être facilement gérés dans un seul système afin d'assurer un flux de travail continu pendant la phase de rapport.
Une technologie de pointe Le fondement de nos applications est la plateforme DeepUnity, construite sur une architecture de microservices et Kubernetes.
 Principaux avantages
- Augmente l'efficacité grâce à la standardisation des rapports
- Réduit le temps nécessaire à la création de rapports structurés directement dans votre PACS
- Optimise le flux de travail pour la création de rapports avec un processus plus fluide et plus facile grâce à un point d'accès unique pour toutes les informations nécessaires
- Aperçu des rapports précédents sur les patients
- Images et rapports en un seul endroit
Caractéristiques principales
- Éditeur WYSIWYG avec des outils de formatage pertinents qui vous donnent la possibilité d'ajouter des images ou de créer des tableaux entre les lignes du rapport
- Possibilité de créer des modèles structurés personnalisés
- Possibilité de créer un rapport pour plusieurs types d'examens différents.
- Reconnaissance vocale
Le cœur de votre stratégie de contenu d'entreprise 
En raison du nombre croissant de solutions propriétaires qui possèdent leurs propres composants de stockage, interfaces, systèmes de visualisation et voies de mise à niveau, les établissements de santé sont confrontés à une complexité accrue en mettant en œuvre d'autres solutions dans leur paysage informatique. Avec DeepUnity eVNA de Dedalus, vous pouvez éviter le verrouillage des fournisseurs, optimiser les flux de travail et créer une infrastructure qui vous permet d'économiser du matériel, du stockage et des coûts opérationnels pour l'ensemble de l'établissement. Ce n'est pas le seul avantage. Grâce aux synergies créées entre les différents départements, la migration des données sera beaucoup plus simple. En accédant aux données du DME, un dossier patient multimédia cohérent peut être établi, ce qui permet de partager et d'accéder aux données DICOM et non-DICOM pour une gestion optimale des données médicales.
En plus de la capture, du stockage, de la gestion et de l'analyse de toutes les données médicales, notre visionneuse universelle à empreinte zéro vous permet de visualiser toutes les données depuis n'importe quel PC, à tout moment.
Le DeepUnity eVNA a été créé pour une prise en charge optimale des flux de travail dans différents scénarios d'utilisation, même au-delà des limites de votre propre établissement de santé. Les données relatives aux soins de santé sont appelées à augmenter continuellement. Il est donc indispensable de mettre en place une stratégie de stockage des données pour gérer plus efficacement les données médicales. Vous pouvez mettre en place votre future stratégie de gestion des données avec DeepUnity eVNA.
 Principaux avantages
- Mise en œuvre d'une future stratégie de stockage des données
- Synergies dans la gestion du cycle de vie de l'information, le flux de travail, la sécurité des données et l'exploration des données.
- Interopérabilité étendue et échange de données amélioré
- Éviter le verrouillage des fournisseurs
- Réduction des coûts de matériel, de stockage et d'exploitation
- Diminution des temps d'arrêt non planifiés
- Audit central et surveillance des performances du système
- Accès unifié à différents types et formats de données
- Prise en charge des flux de documents et d'images
La combinaison parfaite de fonctionnalités pour améliorer votre flux de travail en radiologie  Work In Progress : commercialisation prévue 2024-25 La disponibilité et l'intégrité des données deviennent des caractéristiques plus cruciales pour améliorer la qualité des soins. C'est pourquoi nous aidons les radiologues à créer des flux de travail plus accessibles, plus précis et plus efficaces. Notre RIS est basée sur les flux de travail et joue un rôle central en guidant de manière optimale les utilisateurs tout au long du processus complet en radiologie, de la demande à la phase de rapport, en passant par la distribution des résultats aux cliniciens. De l'admission du patient à sa sortie, il fournit un soutien optimal à tout moment ; y compris les exigences radiologiques et la gestion des services, la coordination des rendez-vous et l'enregistrement des services individuels.
Grâce à la flexibilité de notre solution, presque tous les flux de travail peuvent être mis en œuvre. Un concept d'autorisation sophistiqué assure une sécurité et une gestion des données maximales. Il assure également une intégration bidirectionnelle fluide avec notre application PACS, DeepUnity Diagnost.
 Principaux avantages
- Rapports radiologiques standardisés et fluides grâce à une intégration poussée des options de rapports structurés
- Amélioration de l'efficacité grâce à des profils d'exigences et des listes de priorités librement configurables
- Formulaires de saisie et mises en page d'impression personnalisables
- Accès permanent à toutes les données relatives aux patients et aux traitements
- Processus de compte rendu optimal grâce à l'interface bidirectionnelle avec le PACS
- Système de dictée connecté avec reconnaissance vocale et accès direct aux rapports précédents. Augmente l'efficacité grâce à la standardisation des rapports
- Réduit le temps nécessaire à la création de rapports structurés directement dans votre PACS
- Optimise le flux de travail pour la création de rapports avec un processus plus fluide et plus facile grâce à un point d'accès unique pour toutes les informations nécessaires
- Aperçu des rapports précédents sur les patients
- Images et rapports en un seul endroit
Caractéristiques principales
- Acquisition rapide des données grâce aux préaffectations liées à l'examen des données médicales, des services internes et des procédures
- Guidage de l'utilisateur par des options de flux de travail configurables et des listes de travail individuelles
- Incorporation d'images pertinentes dans le rapport RIS
- Ensemble étendu de règles pour remplir automatiquement les listes de démonstration intégrées
- Soutien à la formation grâce à des listes de contrôle intégrées
Un système de gestion des doses moderne et avancé 
Conçu pour donner une vue d'ensemble de la dose de rayonnement, DOSE peut fournir des informations importantes sur la gestion quotidienne de la dose, la qualité des images cliniques et les performances du personnel.
Il surveille, évalue et optimise automatiquement la dose de rayonnement reçue par les patients dans plusieurs installations et modalités provenant de plusieurs fournisseurs. Ce logiciel est une solution efficace et proactive pour une mise en conformité réglementaire autrement laborieuse et chronophage. Le logiciel vous aide à maintenir un standard de haute qualité et à garantir une sécurité élevée pour les patients.
DOSE est un produit développé par notre partenaire Qaelum N.V.
 Principaux avantages
- Résultats rapides
- Identification aisée des surdoses pour optimiser la dose administrée à vos patients et améliorer la qualité
- Gain de temps sans compromis
- Identification fiable et rapide des violations de référence et de limite
- Interfaces standardisées pour l'intégration dans les PACS, HIS & RIS
Caractéristiques principales
- Tableau de bord en temps réel sur n'importe quel appareil
- Indication par les icônes de feux de signalisation pour les dépassements de limites ; peut également être mis en œuvre dans le RIS
- Comparaison avec les NRD nationaux (niveaux de référence diagnostiques)
- Calcul du pic de la dose cutanée (Peak Skin Dose)
Conçu pour optimiser vos flux de travail et services d'imagerie médicale 
DeepUnity PACSonWEB est un logiciel natif Cloud, conçu, développé et déployé dans un environnement 100% Cloud. Il vous permet de distribuer, partager et visualiser des images et des rapports médicaux sur Internet avec les médecins demandeurs, les patients et à travers les établissements de santé. Conforme et évolutif de par sa conception, DeepUnity PACSonWEB vous aide à optimiser les services de radiologie que vous fournissez, à garantir le temps de fonctionnement et les opérations, et à vous fournir des coûts de cycle de vie prévisibles et inférieurs aux solutions installées sur site. Basée sur une architecture cloud centralisée unique, notre solution utilise un seul système d'imagerie pour organiser et gérer l'ensemble de la chaîne de valeur de l'imagerie médicale.
DeepUnity PACSonWEB peut être utilisée de manière autonome ou en parallèle de n'importe quel PACS.  Principaux avantages
- Réduit la charge et les coûts informatiques, sans installation ni investissement initial
- Garantit une grande flexibilité du personnel, puisque les radiologues ne sont plus liés à un lieu particulier
- Améliore le niveau de sécurité, grâce à une assistance, une surveillance et un enregistrement 24 heures sur 24 et 7 jours sur 7 des composants centraux et de la passerelle
- Fournit des données financières plus claires, avec un paiement par étude
- Minimise les coûts collatéraux, les frais de maintenance, d'intégration et de mise à niveau.
Caractéristiques principales
- Plateforme cloud-native multi-tenant
- Sécurisée et conforme dès la conception
- Collaboration entre établissements de santé, échange d'images, rapports et calendrier des patients
- Visualisation fluide et sans perte, optimisée pour les connexions à forte latence et à faible bande passante
- Disponible sur tout appareil, partout et à tout moment
Capsules vidéo
|
|
|
Telephone +41 43 547 17 31 E-mail sales.ch@dedalus.com
|
Dedalus HealthCare Konrad-Zuse-Platz 1-3, 53227 Bonn DH HealthCare Switzerland AG Bahnhofplatz 1a, 8304 Wallisellen
|
|
|
|